Braces

GET YOUR DREAM SMILE WITH

Braces in Burwood

Unlock the benefits of beautifully aligned teeth with high-quality dental braces at Arc Orthodontic Specialists. Whether you need traditional braces or a more discreet option, this time-tested system helps children, teens, and adults achieve a healthier bite and a beautiful smile you’ll be proud to show off.

Put your smile in trusted hands and discover the confidence that comes with a straighter smile.

Tried and Tested Approach for Teeth Straightening

Braces are one of the most trusted methods of orthodontic treatment. They are fixed in place, which means they work around the clock without relying on you or your child to remember to put them back in.

Dental braces are highly effective for correcting complex orthodontic problems and, with the latest technology at Arc Orthodontic Specialists, they can achieve excellent results in a reasonable timeframe.

Always On

Braces work 24/7, moving your teeth without you
needing to remember a thing.

Precise Control

Your orthodontist can fine-tune every adjustment for highly predictable results.

Cost-Effective

Braces remain one of the most reliable and budget-friendly orthodontic treatments available.

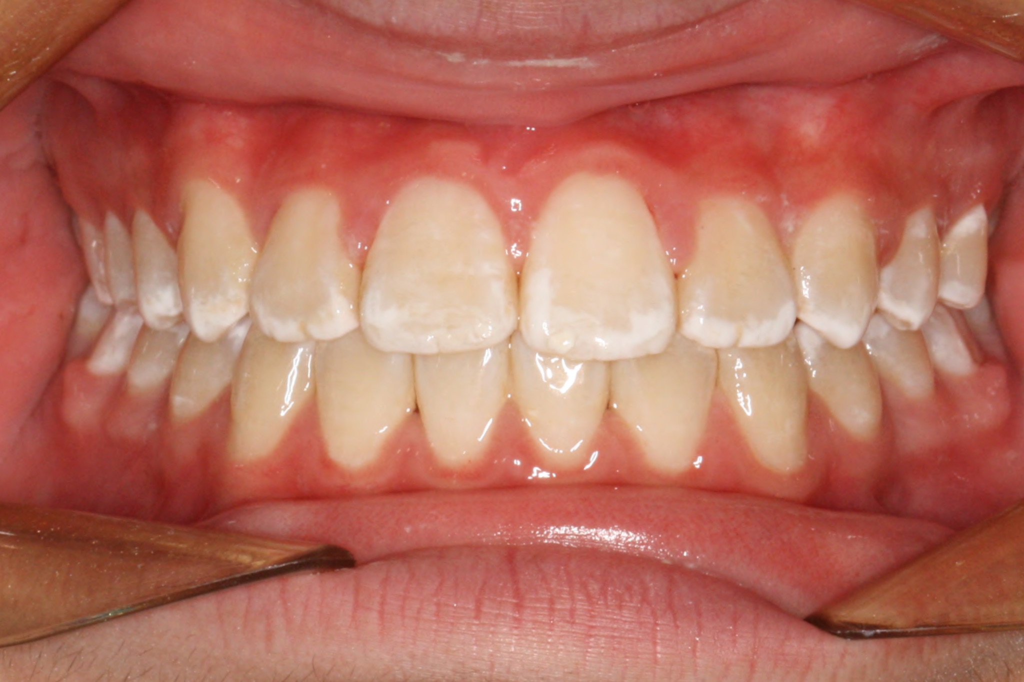
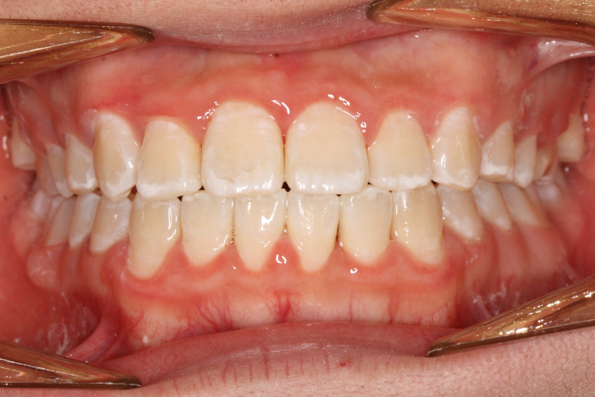
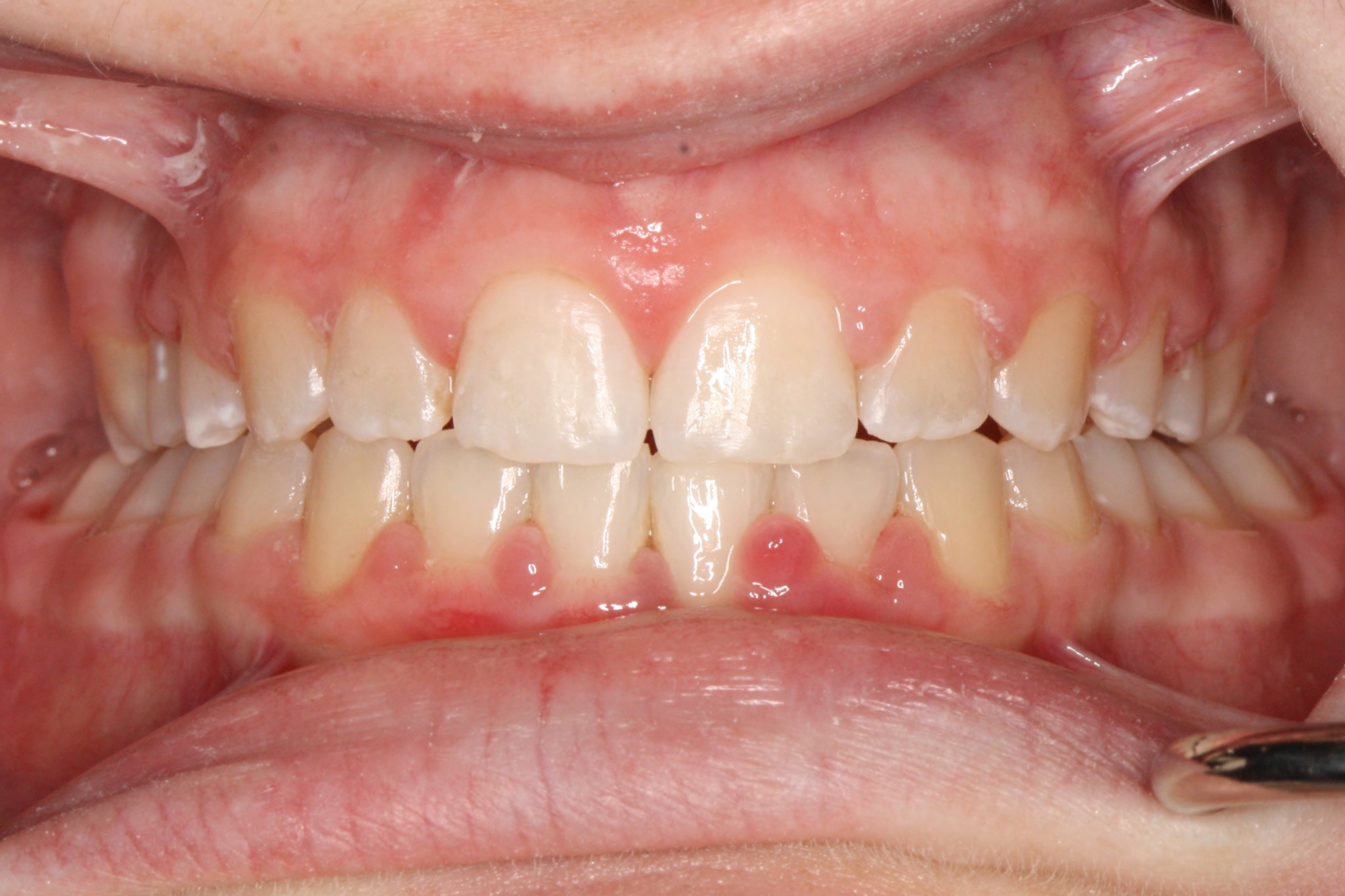
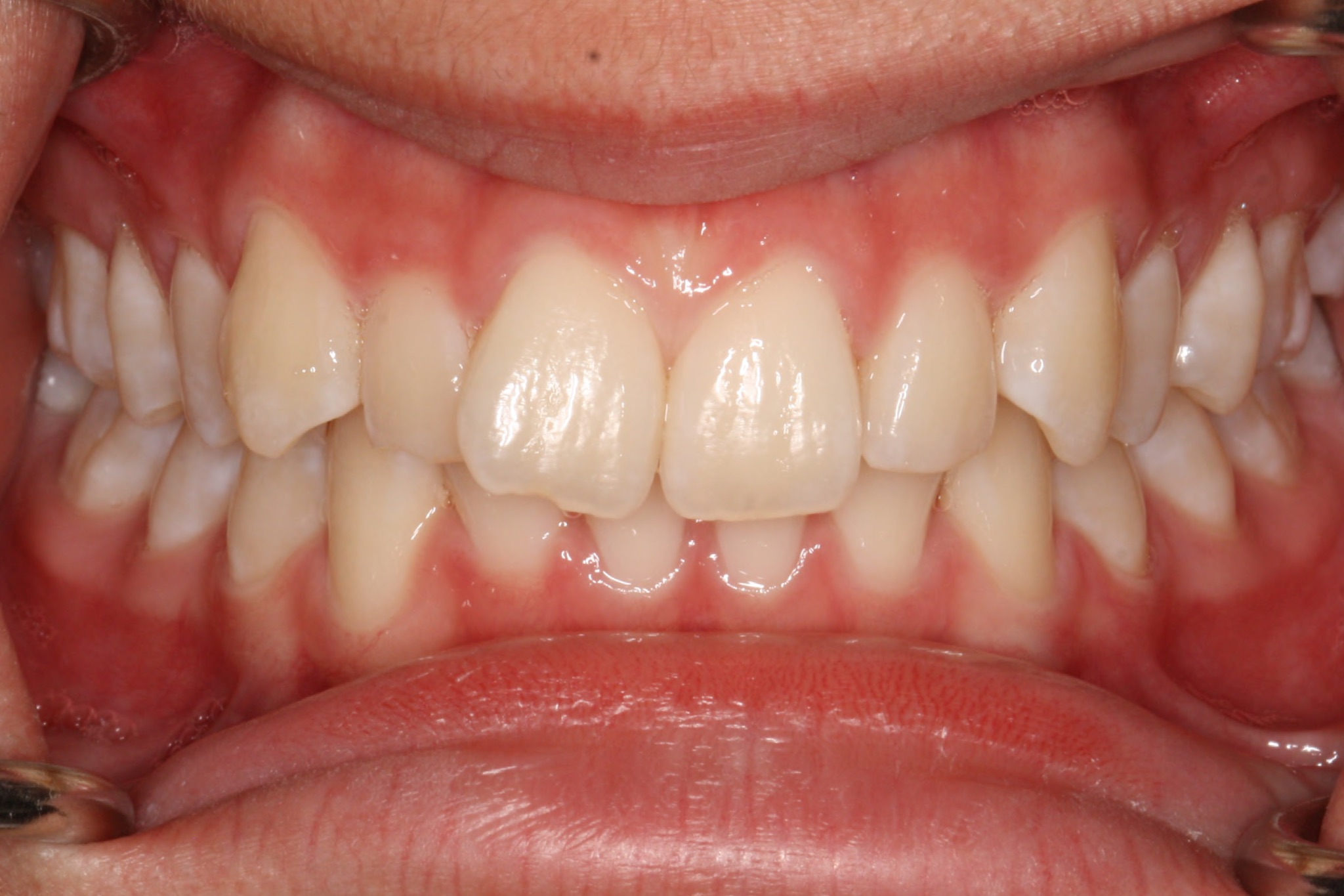
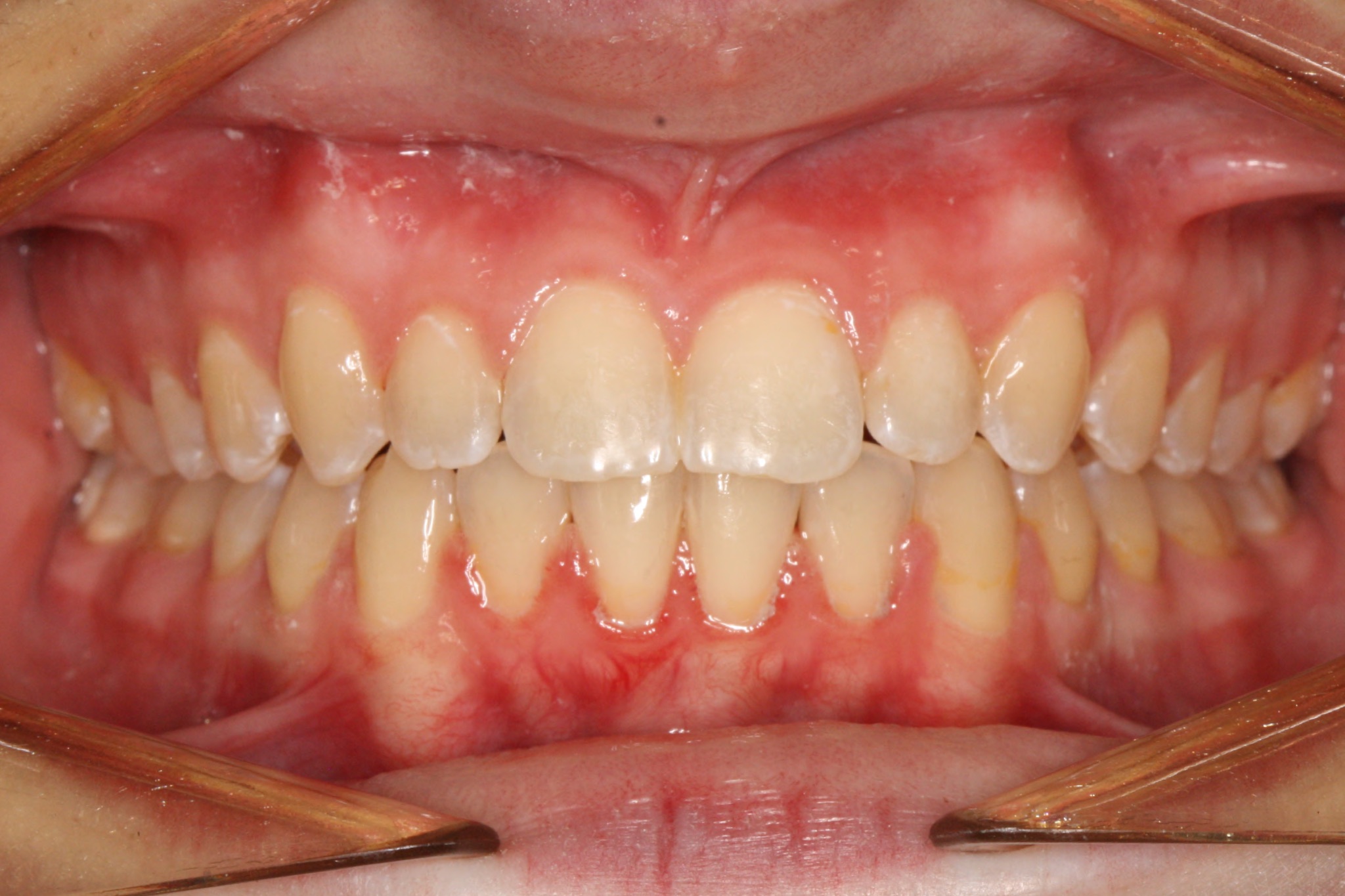
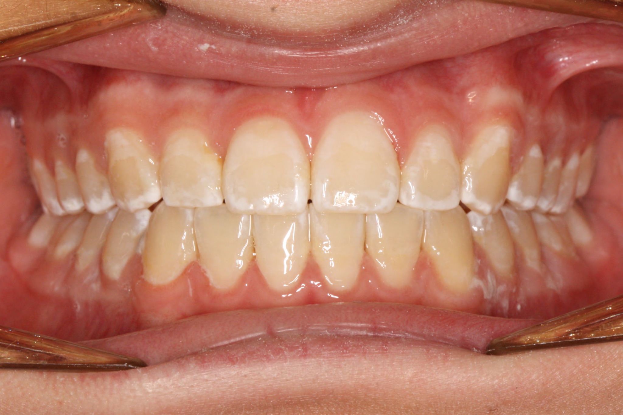
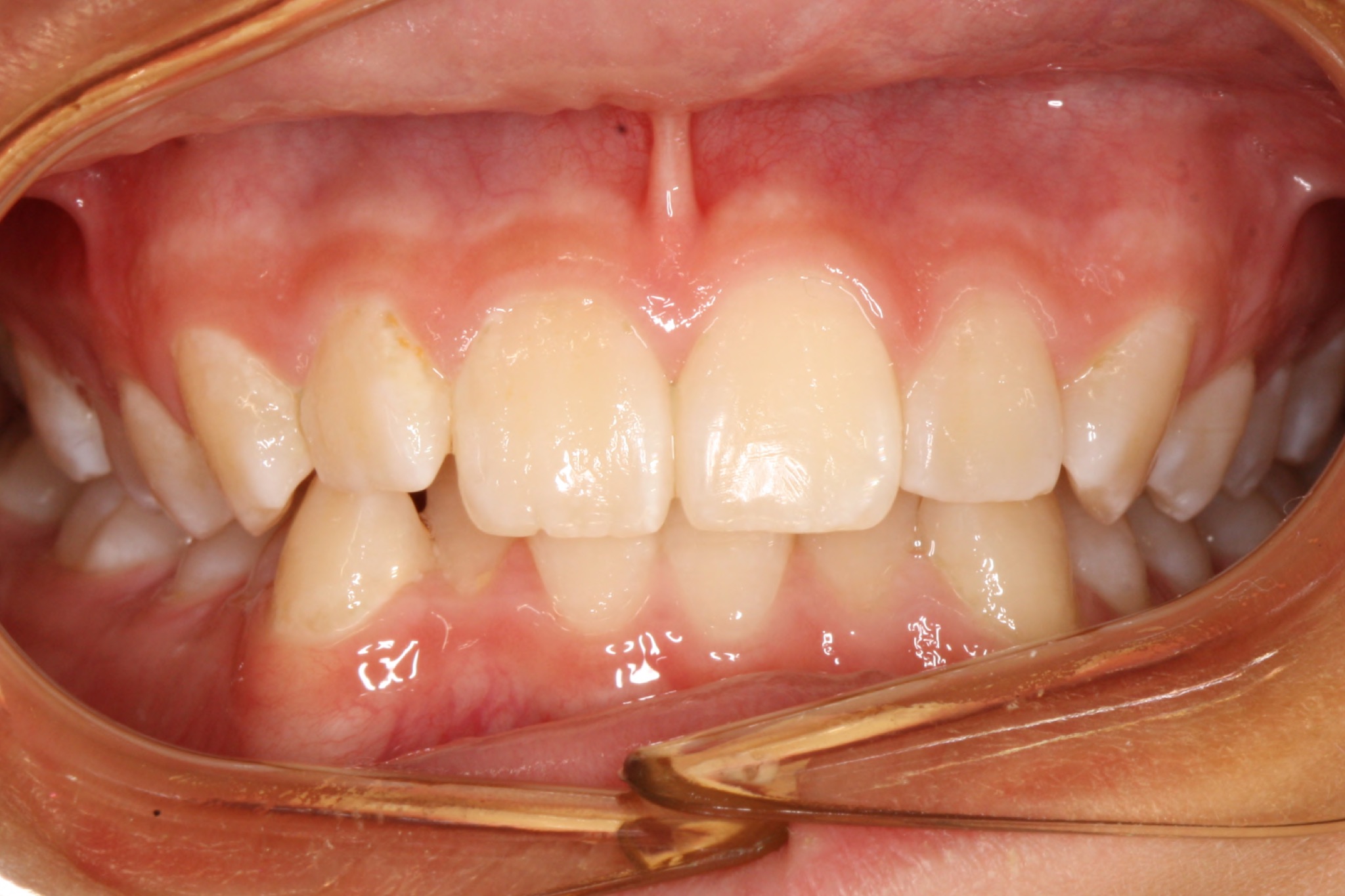
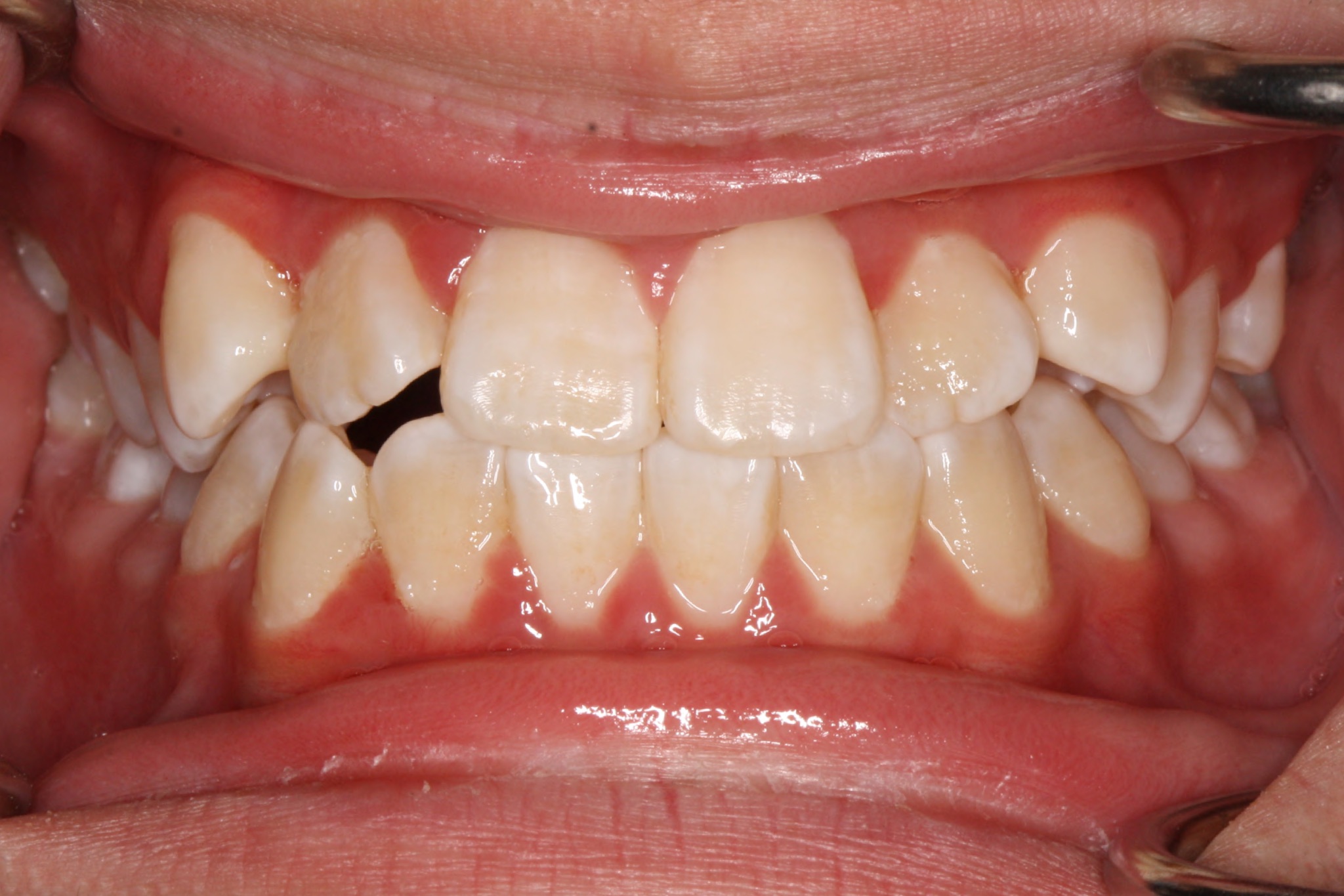
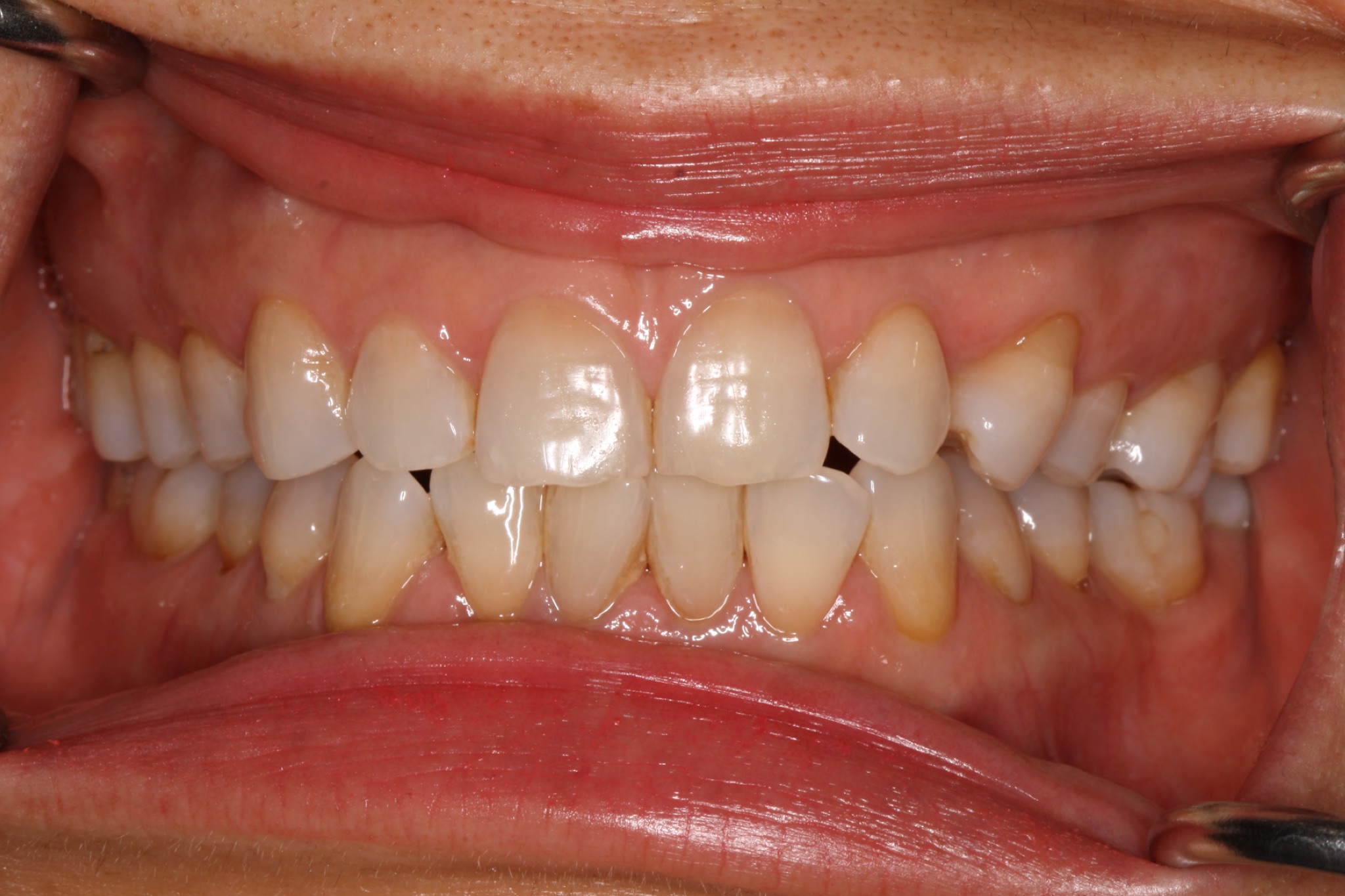
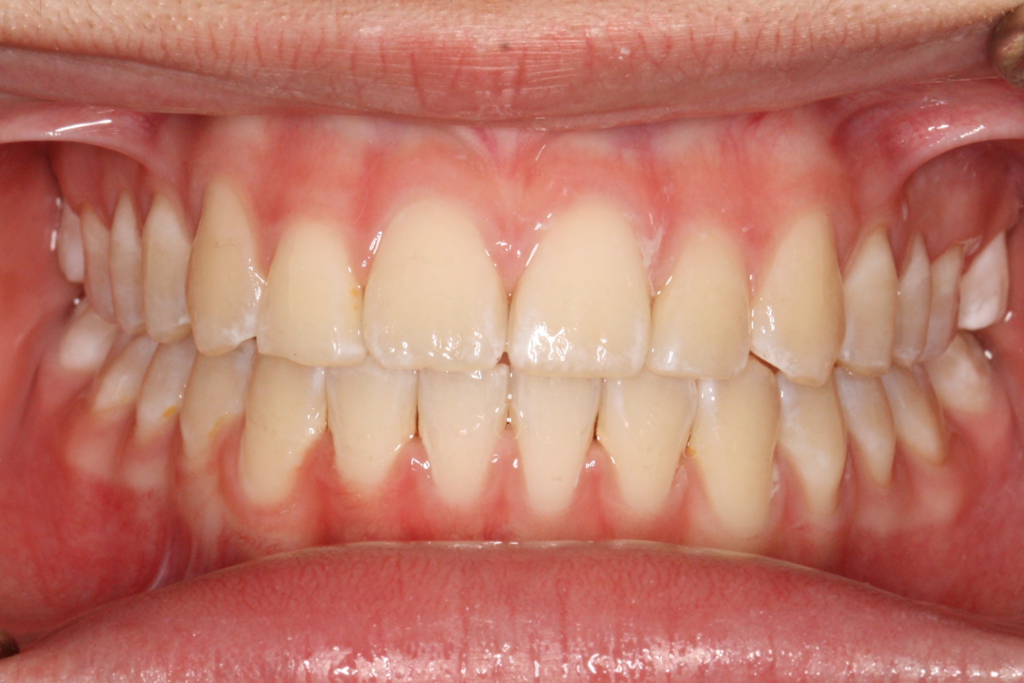
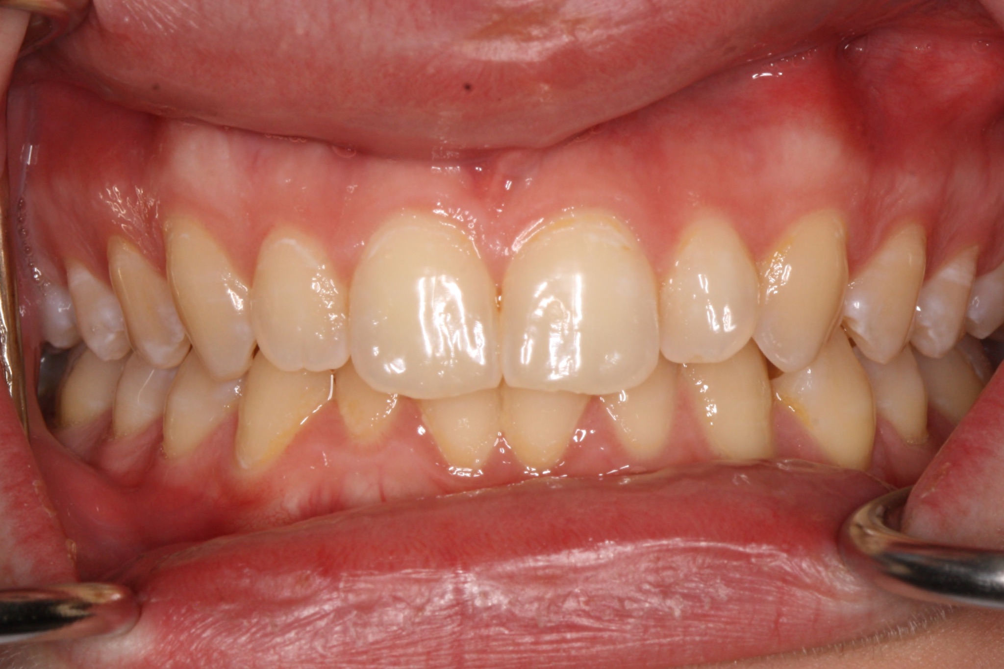
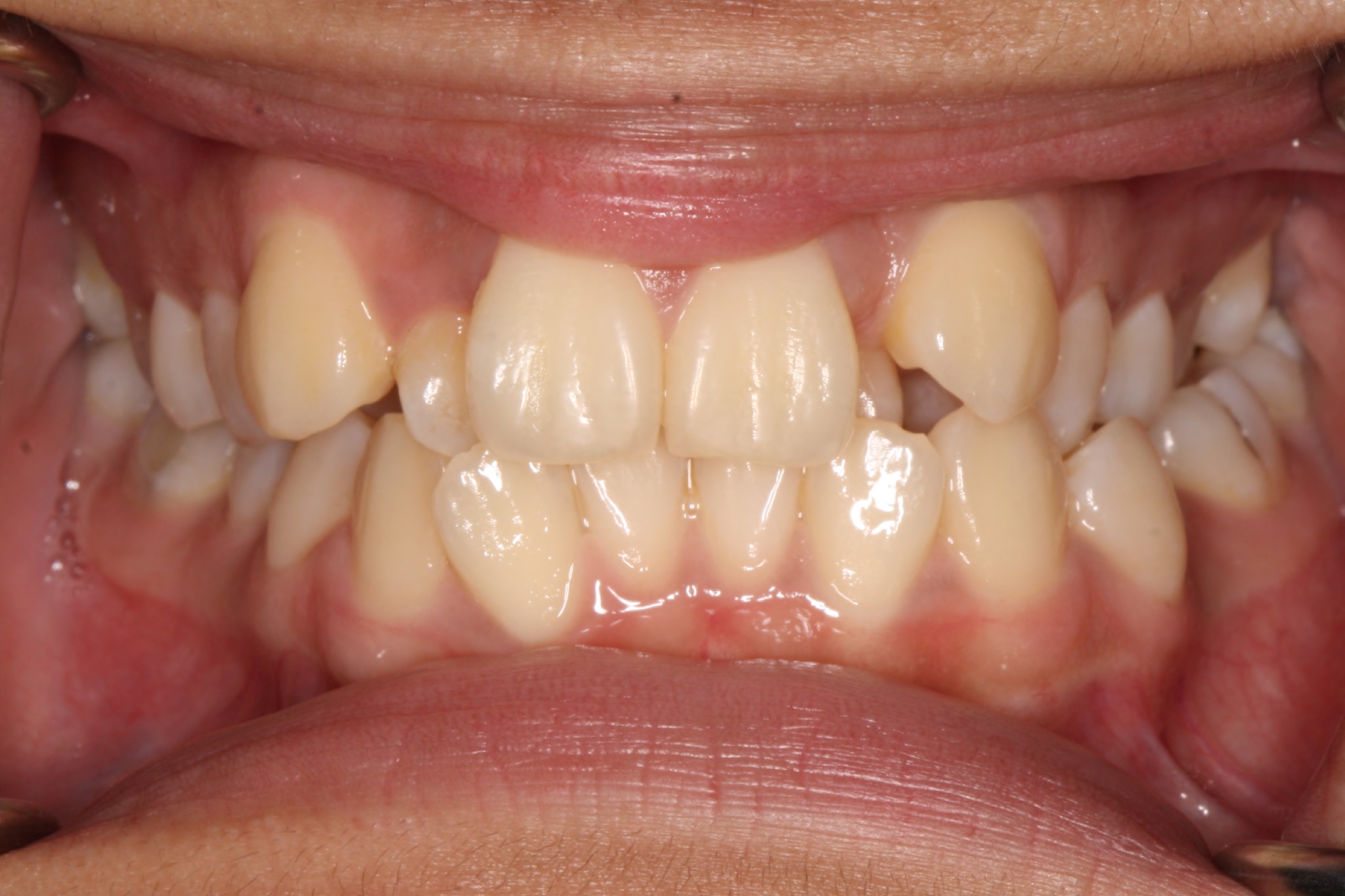
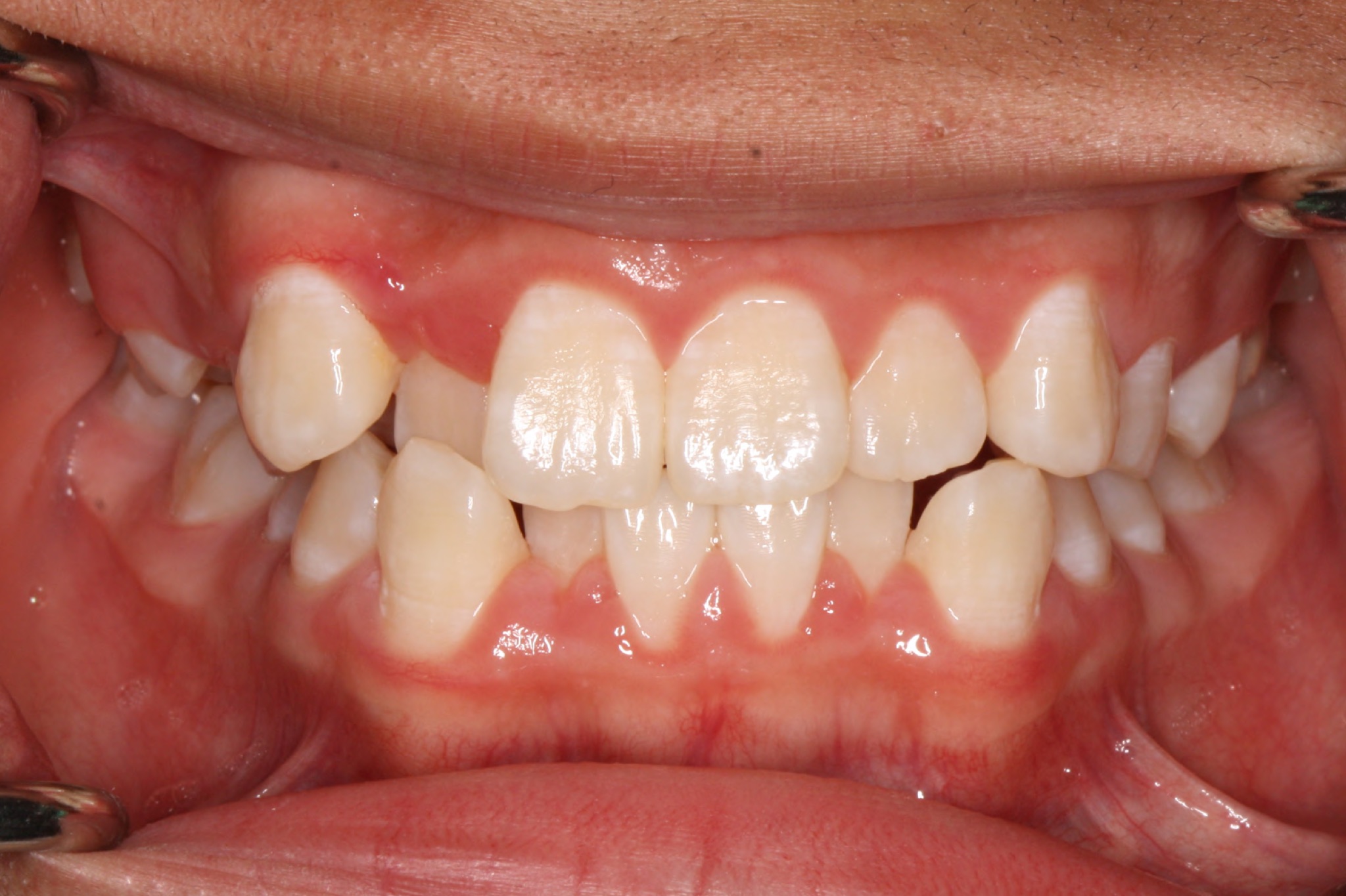
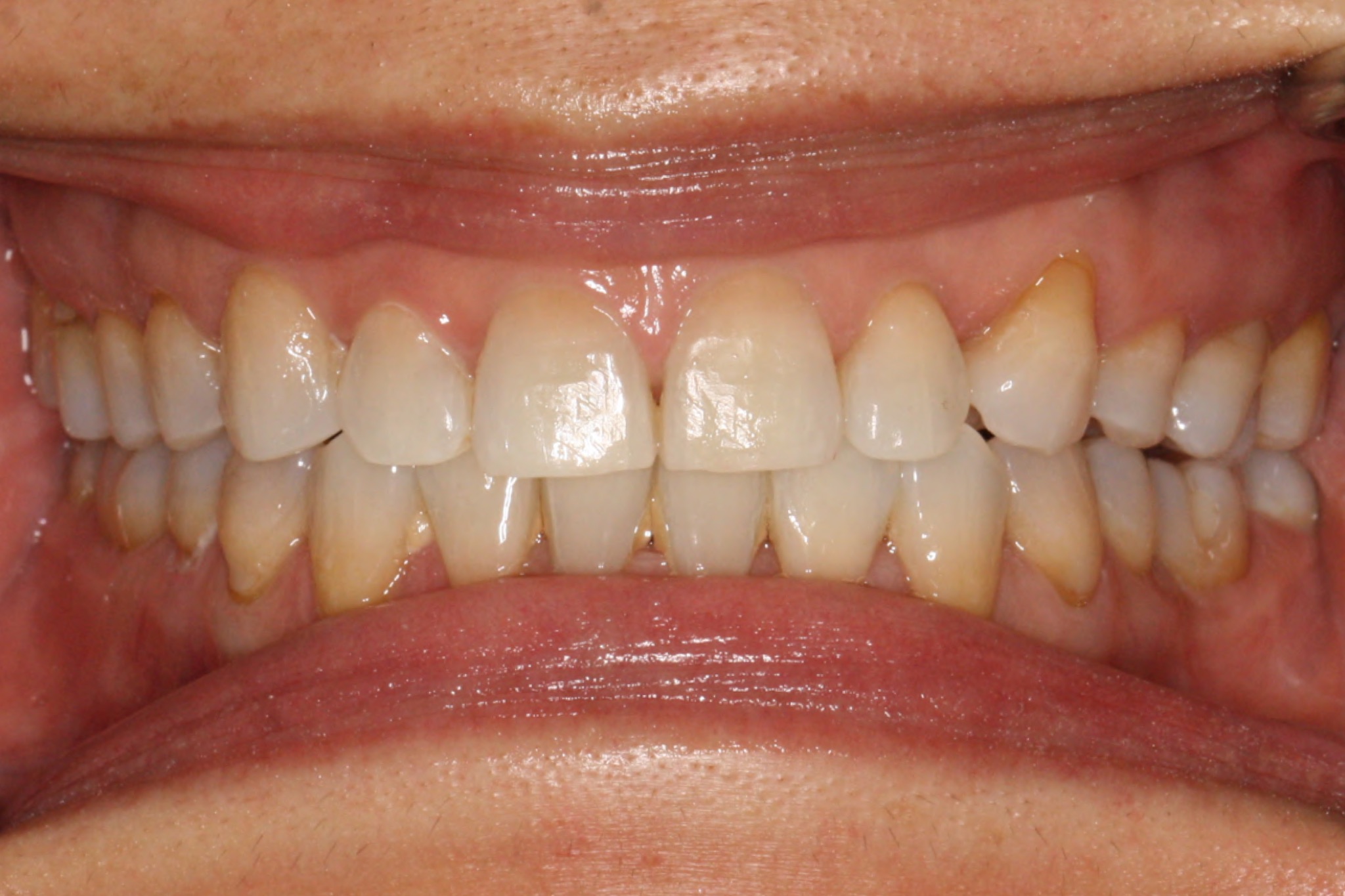
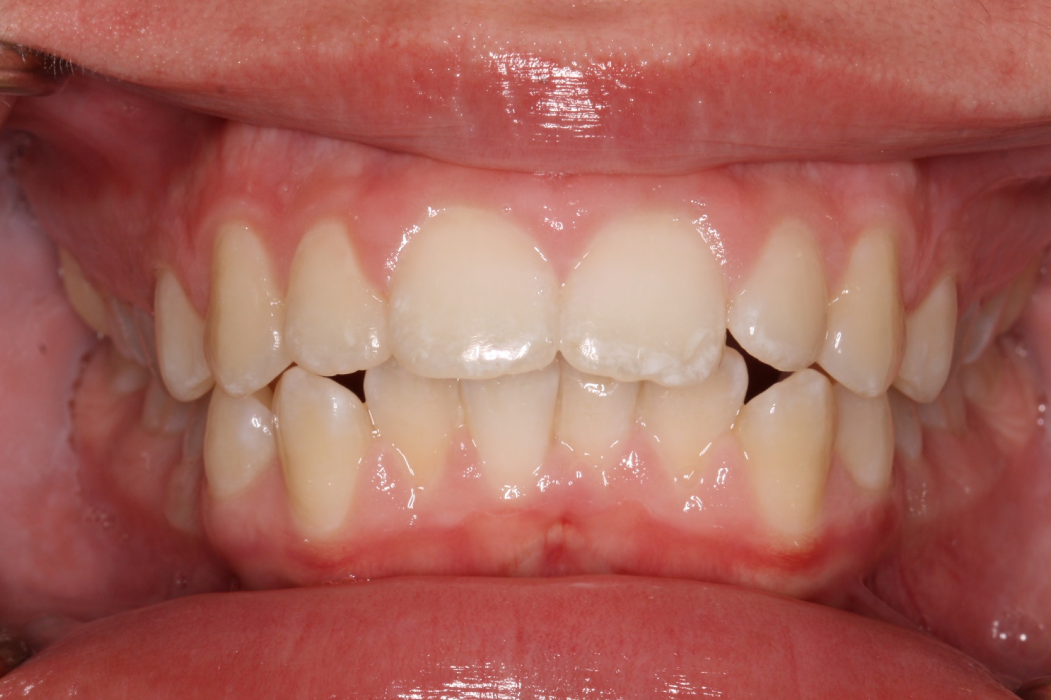
BEFORE AND AFTER RESULTS

Smile Transformation with Braces

Check out the impressive results our patients have achieved with our braces.

How Much Do Braces Cost in Burwood?

The cost of braces depends on the type of treatment and the complexity of your case. At Arc Orthodontic Specialists, we believe in complete transparency.
Dr Jonathan Lam will discuss your options during your initial consultation and provide a clear breakdown of costs.

To make treatment more accessible, we offer:

a bit about

Types of Braces
We Offer

Book Your Consultation

A reliable and effective choice for all ages. Metal braces are strong, precise, and often the best option for more complex orthodontic issues. They’re also popular with young patients who enjoy choosing fun colours for their brackets!

A discreet alternative that blends with your natural teeth. Ceramic braces are less noticeable than metal, making them a popular choice for teens and adults who want a more subtle look.

Why Choose Arc Orthodontic Specialists

Experienced, Friendly Team

With years of experience in dentistry and specialised training in orthodontics, Dr Jonathan Lam and his staff are dedicated to providing premium orthodontic care using the latest practices.

Innovative Technology

We take pride in using the latest orthodontic technology to deliver excellent results better suited to your lifestyle.

Accessible Location

We are conveniently located in the heart of Burwood at Suite 1102, Level 11, 180–186 Burwood Rd, Burwood NSW. Just a short walk from Burwood Station.

GET BRACES NOW, PAY LATER

Payment Plans Available

We offer a variety of in-house payment options. Speak to our team to discuss a financial arrangement that suits your needs.

Frequently Asked Questions (FAQ)

The duration of dental treatment varies based on individual needs. On average, traditional braces are worn for 18-24 months, but it can be shorter or longer depending on the complexity of your case. Clear aligners may offer a more discreet option with treatment times ranging from 6 months to 2 years.

While braces are known for enhancing the appearance of your smile, they also play a crucial role in correcting functional issues. Braces can address misalignments contributing to difficulties in chewing, speaking, and maintaining proper oral hygiene. By improving the alignment of your teeth, braces contribute to oral health and comfort.

Yes, braces require proper care to ensure effective treatment. Regular brushing, flossing, and scheduled dental check-ups are essential. Follow-up appointments with our dental team typically occur every 8-10 weeks to monitor progress, make adjustments, and address concerns.

There is no age limit for dental treatment with braces. While many people associate braces with adolescence, adults can benefit significantly from dental care. Our experienced team at ARC Orthodontic Specialist provides personalised treatment plans for patients of all ages, recognising that a healthy, aligned smile is valuable at any stage of life.

We understand that the cost of dental treatment is an important consideration. At ARC Orthodontic Specialists, we offer flexible payment plans to accommodate various budgets. Additionally, we can discuss insurance coverage and explore financing options to ensure that achieving a confident, healthy smile is financially feasible for our patients.

You may experience some discomfort and tenderness for a few days after getting your braces put on or adjusted. Over-the-counter pain relievers can usually manage this discomfort.

While you have braces, it is recommended to avoid hard, crunchy, sticky, and sugary foods as they can damage the braces or cause tooth decay. Soft foods, such as fruits, vegetables, dairy products, and pasta, are good choices. Your orthodontist will provide you with a complete list of foods to avoid and maintenance tips to observe at home.

The cost of orthodontic treatment varies depending on the complexity of each individual case, the type of appliance used, and the duration of treatment. Because every smile is unique, we recommend scheduling a consultation so we can provide a personalised treatment plan and an accurate estimate.

As a general guide, orthodontic treatment can range from approximately $6,000 to $12,000.

Book Your GAP FREE Consultation

Click the button below to book an orthodontic consultation with Dr Jonathan Lam. Alternatively, you can call us on (02) 8072 7981.

Right Menu Icon