Ceramic Braces

ACHIEVE A BEAUTIFUL SMILE WITH

Ceramic Braces in Burwood

Clear ceramic braces is a discreet orthodontic solution to achieving healthy, beautiful smiles. Using transparent tooth-coloured materials, ceramic braces combine the effectivess of traditional metal braces with aesthetic design, making it popular for patients who want effective alignment with a discreet, low-profile look.

Get the confidence of a straighter smile with clear ceramic braces.

The Clear Advantage of Ceramic Braces

Ceramic braces or “clear braces” are a discreet orthodontic treatment to address tooth crowding, gaps, bite issues, and major misalignment. Ceramic braces use the same proven system as traditional metal braces, but with the use of tooth-coloured materials or clear brackets that blend in naturally with your smile.

Designed for comfort and aesthetics, they’re a popular choice for adults and teens seeking reliable results with a subtle finish.

At Arc Orthodontic Specialists, we offer high-quality ceramic braces as a modern alternative to traditional metal braces. Our specialist orthodontist, Dr Jonathan Lam, provides personalised care to help you achieve confident smiles that lasts.

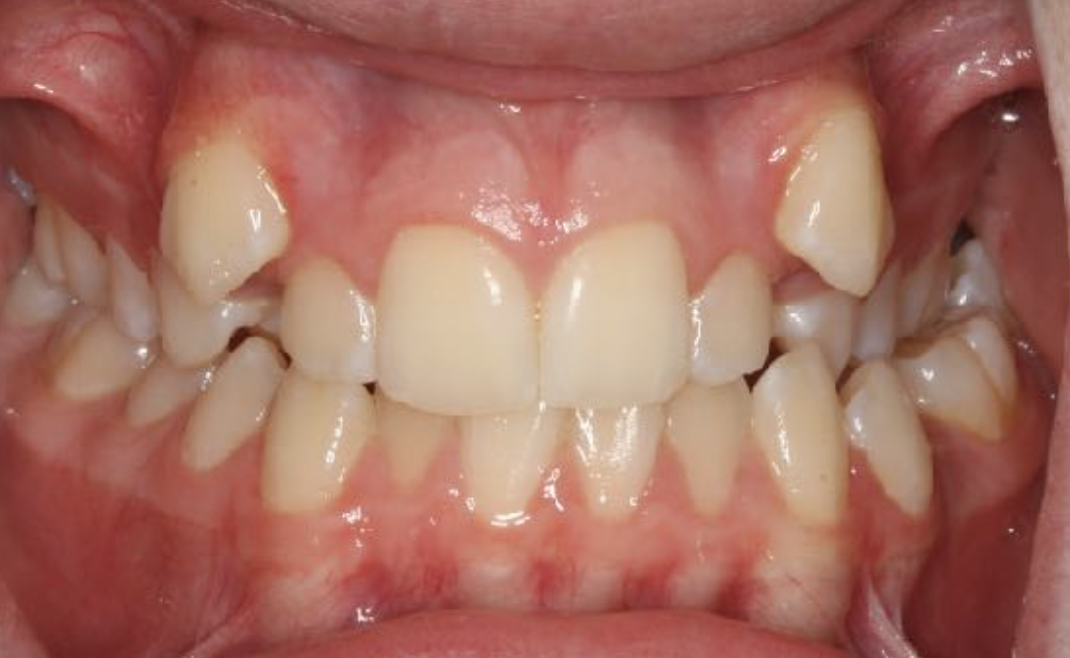
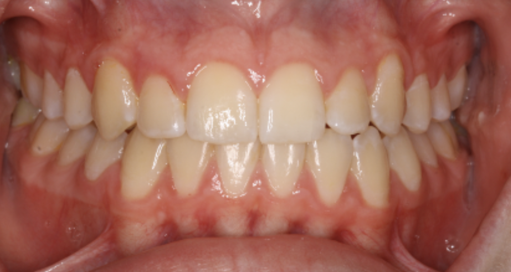
CERAMIC BRACES BEFORE-AND-AFTER

Our Patients Smile Transformations

Before

After

How Much Do Ceramic Braces Cost in Burwood?

The cost of ceramic braces depends on several factors including the complexity of your case and treatment duration. Ceramic materials comes at a slightly higher cost. But with its aesthetic benefits and effectiveness, clear braces are well worth the investment. At Arc Orthodontic Specialists, we’re committed to transparent, accessible pricing. We offer:
  • Interest-free monthly payment plan
  • Reduced fees for upfront payments
  • Courtesy discounts for multiple family members
  • No additional costs or hidden fees*
Talk to our team for a personalised quote tailored to your treatment needs.
Signs You May Need Ceramic Braces
Ceramic braces are best suited for patients who want effective, fixed orthodontic treatment with a more discreet appearance. You may be a candidate if you have:
If you’re unsure whether ceramic braces are right for you, our team at Arc Orthodontic Specialists can assess your case and recommend the most suitable treatment during your consultation.
Benefits of Ceramic Braces

Subtle Appearance

Tooth-coloured or clear brackets blend seamlessly with your teeth for a more discreet, low-profile look throughout treatment.

Effective

Offers the same reliable alignment and bite correction as metal braces.

Stain Resistant

High-quality ceramic materials stay clear with proper care, maintaining a clean look throughout treatment.

Confidence While You Wear Them

A popular choice for adults and teens who want fixed orthodontic results without the look of traditional metal.

Book a GAP FREE Orthodontic Consultation

Why Choose Arc Orthodontic Specialists for Ceramic Braces

Experienced, Friendly Team

Led by Dr Jonathan Lam, our team combines years of clinical experience with specialist orthodontic training to deliver professional and gentle care for our patients.

Innovative Technology

We take pride in using the latest orthodontic technology to deliver excellent results with fewer delays.

Holistic, Patient-Focused Care

We take a holistic approach in orthodontics, ensuring every treatment plan create smiles that are both healthy and balanced.

Accessible Location

We are conveniently located in the heart of Burwood at Suite 1102, Level 11, 180–186 Burwood Rd, Burwood NSW. Just a short walk from Burwood Station.
Our Ceramic Braces Process
At Arc Orthodontic Specialists, your ceramic braces journey is structured, clear, and guided by specialist care from start to finish.

STEP 1

Initial Consultation

Your journey begins with a comprehensive assessment by Dr Jonathan Lam. We review your bite, discuss your goals, and confirm if ceramic braces are the right choice for your orthodontic needs.

STEP 2

Diagnostics & Treatment Planning

We take detailed digital scans, X-rays, and clinical photos to plan your treatment with precision. This step ensures we map out tooth movement effectively and tailor your plan to your unique smile.

STEP 3

Braces Fitting

Brackets are bonded to your teeth and connected with an archwire to begin guided alignment. You’ll receive instructions on care and hygiene, and return regularly for adjustments to keep your treatment on track.

STEP 4

Removal

Once your teeth are aligned, we remove the braces and fit a custom retainer to maintain your results. We’ll walk you through follow-up care and retainer use to help protect your new smile for years to come.

GET BRACES NOW, PAY LATER

Payment Plans Available

We offer interest-free, in-house payment plans to help make your orthodontic treatment more manageable. Speak with our team to create a personalised plan.

Frequently Asked Questions (FAQ)

Yes, ceramic braces use tooth-coloured or clear brackets that blend in with your teeth, making them much less noticeable than metal braces.

For most cases, yes. They offer the same level of control and effectiveness for mild to moderate alignment issues.

The brackets are stain-resistant, but the elastic ties can discolour. We replace them at each visit to keep your braces looking clean.

Absolutely. Many adults choose ceramic braces for their effective results and discreet appearance.

The cost of orthodontic treatment varies depending on the complexity of each individual case, the type of appliance used, and the duration of treatment. Because every smile is unique, we recommend scheduling a consultation so we can provide a personalised treatment plan and an accurate estimate. Ceramic braces cost a little extra compared to metal braces.

As a general guide, orthodontic treatment can range from approximately $6,000 to $12,000.

START YOUR SMILE TRANSFORMATION

Book Your GAP FREE Ceramic Braces Consultation Today

Click the button below to book an orthodontic consultation with Dr Jonathan Lam. Alternatively, you can call us on (02) 8072 7981.

Right Menu Icon